Ce spune știința despre scleroza multiplă: sinteză clară
Imagine de ansamblu asupra afecțiunii
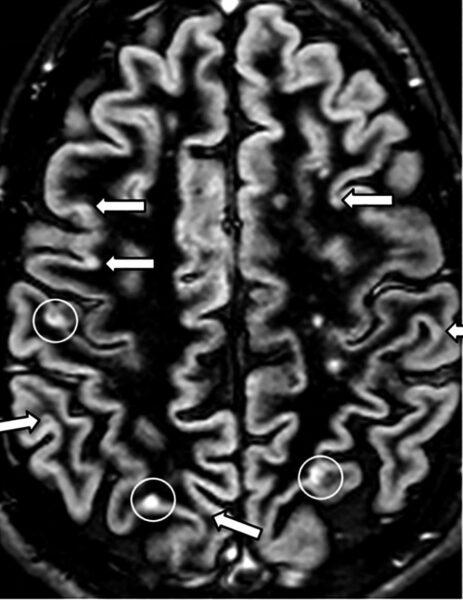
Scleroza multiplă este o boală neurologică inflamatorie cronică în care sistemul imunitar poate afecta mielina care învelește fibrele nervoase. Evoluția și manifestările sunt variabile: unele persoane au perioade de exacerbare urmate de remisiuni, altele un curs progresiv. Există simptome frecvente (oboseală, probleme de vedere, amorțeli, tulburări de mers) și semnale care impun consult imediat, precum pierderea bruscă a vederii, slăbiciunea rapidă a unei părți a corpului sau tulburările acute de vorbire și echilibru.
Ce spune știința, pe scurt: mecanisme și incertitudini
Cercetarea susține ideea că interacțiunea dintre factori genetici și factori de mediu (infecții anterioare, vit D, fumat etc.) contribuie la risc. Procesele imunologice implică celulele T și B, inflamație și consecințe neurodegenerative. Există tratamente aprobate care pot modifica evoluția bolii, dar multe întrebări rămân: de ce unii răspund bine la tratament, cum se previne progresia pe termen lung și în ce măsură intervențiile complementare pot influența calitatea vieții.
Principii de bază pentru abordarea complementară
Abordarea naturistă are ca obiectiv principal susținerea simptomelor și îmbunătățirea rezilienței, nu înlocuirea terapiei medicale. Intervențiile naturale pot viza inflamația, stresul oxidativ, funcția intestinală și reglarea stresului; dovezile privind efectul direct asupra evoluției bolii sunt variabile. Orice schimbare se face gradual și în coordonare cu echipa medicală.
Remedii naturiste: categorii, roluri posibile și integrare
Extracte vegetale și ceaiuri
Anumite plante cu proprietăți antiinflamatorii sau neuroprotectoare pot susține binefacerile paliative: de exemplu, extracte standardizate pot avea compuși care reduc stresul oxidativ sau inflamația. Ceaiurile pot ajuta la hidratare și relaxare. Recomandarea practică este să alegeți produse standardizate când este posibil și să introduceți un singur produs la un moment dat pentru a observa efectul.

Vitamine, minerale și acizi grași esențiali
Suplimente precum vitamina D, vitamine din complexul B, antioxidanți și acizi grași omega‑3 sunt frecvent investigate pentru rolul lor în susținerea funcției neurologice și a imunității. Ele pot contribui la echilibrarea unor deficite și la reducerea inflamației sistemice. Evaluarea statutului nutrițional este utilă înainte de suplimentare.
Probiotice și sănătatea intestinală
Microbiota joacă un rol în reglarea imunității; unele formule probiotice pot influența simptomele gastrointestinale și pot avea efecte indirecte asupra stării generale. Alegerea unui produs potrivit și monitorizarea răspunsului sunt importante, iar persoanele cu imunosupresie trebuie să discute cu medicul înainte.
Adaptogene și plante pentru stres
Plante care pot modula răspunsul la stres (numite adaptogene) par să susțină toleranța la solicitările cronice și să îmbunătățească calitatea somnului. Acestea pot fi utile ca parte dintr-un pachet de gestionare a oboselii și a stării psihice, aplicate cu precauție în caz de comorbidități.
Mini-tabel: clasificare și note de siguranță
| Categorie | Rol posibil | Notă de siguranță |
|---|---|---|
| Extracte vegetale | Anti‑inflamator, calmant | Pot interacționa cu tratamente; evitați în sarcină fără aviz |
| Vitamine & omega‑3 | Susținere nutrițională, anti‑inflamator | Verificați nivelurile și evitați excessul |
| Probiotice | Reglare microflorei, confort digestiv | Precauție la imunosupresie; introduceți treptat |
Modul de integrare în rutină: pași practici
Introduceți remedii naturiste gradual: alegeți un produs, utilizați‑l câteva săptămâni și notați schimbările în simptomele relevante (energie, somn, digestie). Combinați suplimentele cu îmbunătățiri ale stilului de viață: somn regulat, alimentație echilibrată bogată în legume și acizi grași sănătoși, mișcare adaptată capacității, tehnici de reducere a stresului (respirație, mindfulness, terapie fizică).
Securitate, contraindicații și interacțiuni
Unele remedii naturale pot interfera cu medicamentele: preparatele care subțiază sângele pot modifica efectul anticoagulantelor; anumite plante pot influența tensiunea arterială sau glicemia; suplimentele pot interacționa cu terapiile imunosupresoare sau modulatoare de imunitate. Femeile însărcinate sau care alăptează, persoanele cu boli autoimune active ori alergii cunoscute trebuie să ceară aviz medical înainte de a începe orice produs nou.
Când să solicitați asistență medicală
Cereți ajutor rapid dacă apar semne acute: pierderea bruscă a funcției vizuale, slăbiciune importantă, probleme severe de echilibru, dificultăți de vorbire sau respirație. De asemenea, discutați cu medicul înainte de a întrerupe sau modifica tratamentul convențional; integrarea remediilor naturiste trebuie coordonată pentru a evita riscuri și pentru a urmări evoluția bolii.
Abordarea complementară poate viza calitatea vieții și factorii de suport, dar nu înlocuiește managementul medical specializat.
Monitorizare și evaluare a efectelor
Utilizați un jurnal simplu pentru simptome și eventuala apariție a efectelor adverse; notați periodic evaluarea funcțională și discutați rezultatele cu echipa medicală. Testele de laborator pot fi utile pentru a monitoriza starea nutrițională și posibile interacțiuni.
Recomandări practice finale
Alegeți produse de calitate, introduceți unul câte unul, urmăriți răspunsul și mențineți comunicarea cu medicul. Prioritizați somnul, activitatea fizică adaptată și gestionarea stresului ca fundamente ale oricărui program complementar.
Pe scurt, știința indică mecanisme imune și neurodegenerative complexe; intervențiile naturiste pot oferi suport simptomatic și pot contribui la bunăstare, dar trebuie folosite precaut și în sinergie cu tratamentul medical. Consultați echipa terapeutică pentru decizii informate și monitorizare continuă.
- Cercetările arată că scleroza multiplă este o afecțiune inflamatorie autoimună a sistemului nervos central, cu manifestări şi traiectorii foarte variabile între persoane.
- Există terapii care pot diminua activitatea inflamatorie şi pot încetini evoluţia la unii pacienţi, însă răspunsul şi riscurile se evaluează individual.
- Tratamentul combină strategii farmacologice pentru boală şi simptome, reabilitare şi intervenţii multidisciplinare pentru a susţine funcţionalitatea şi calitatea vieţii.
- Modificările în stilul de viaţă, monitorizarea regulată şi colaborarea strânsă cu echipa medicală sunt esenţiale pentru adaptarea îngrijirii fiecărui pacient.
Atenționare: Informațiile au caracter informativ și nu înlocuiesc consultul medical. Pentru recomandări personalizate, adresați-vă specialistului.
Duminică, 26 aprilie 2026
Ofertă Limitată! Suferiți de scleroză multiplă? Completați acum formularul și primiți pe email și telefon informațiile terapeutice gratuite și rețeta de tratament eficient pentru scleroză multiplă!
Sprijină-ne cu un share, mulțumim! ❤️
Te-ar mai putea interesa
Pași esențiali pentru gestionarea angor pectoris
Mit corectat: angor pectoris nu e întotdeauna infarct; poate semnala ischemie stabilă sau instabilă. Gestionarea…
Remedii naturale pentru sinovită și confort articular
Abordări naturale pot susține confortul articular în sinovită: repaus, aplicare locală de căldură sau frig,…
Mialgie: semne clare și ce pași să urmați imediat
Observați semne clare: rigiditate, sensibilitate la atingere, crampe. Pași imediați: odihnă, compresă caldă sau rece…
Greșeli comune în spondilartroză și alternative sigure
Pași practici: evită mișcările bruște, ajustează postura la muncă, include exerciții blânde și consultă un…
