Afecțiuni și remedii

03 Sep 2025

Gingivo-stomatita: simptome, cauze și îngrijire

Gingivo-stomatita: simptome, cauze și îngrijire

Gingivo-stomatita este o inflamație a gingiilor și a mucoasei bucale care poate provoca durere, sângerare și disconfort la mestecat sau vorbire. În acest articol veți găsi explicații despre semnele frecvente, cauze posibile și măsuri de îngrijire practice pentru ameliorarea simptomelor, precum și indicații despre când este recomandat să solicitați evaluare medicală sau stomatologică. Informațiile sunt generale și nu înlocuiesc consultul unui specialist.

Cuprins

Ce este

Ce este

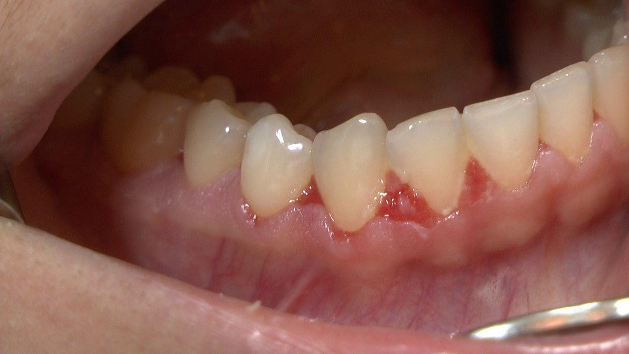
Gingivo‑stomatita este o inflamație a gingiilor și a mucoasei orale care poate varia de la o ușoară roșeață și sensibilitate până la leziuni sau ulcerații dureroase. Afecțiunea poate fi de natură acută sau cronică și, frecvent, generează disconfort la mestecat, vorbire sau igienă orală, influențând calitatea vieții persoanei afectate.

Cauzele sunt multiple: factori locali, precum igiena orală deficitară, traumatisme sau proteze neadaptate; infecții de natură virală, fungică sau bacteriană; precum și condiții sistemice, medicație sau deficiențe nutriționale care pot contribui la apariție. O evaluare clinică atentă poate ajuta la identificarea factorilor implicați și la orientarea măsurilor de îngrijire, iar în cazurile persistente sau severe consultul unui specialist poate susține stabilirea conduitei terapeutice adecvate.

Simptome frecvente

Simptome frecvente

Semnele locale sunt, în general, legate de inflamația mucoasei orale și pot afecta atât gingiile, cât și mucoasa bucală.

  • Roșeață și umflare a gingiilor: adesea însoțite de sensibilitate la atingere și senzație de arsură.
  • Ulcerații sau vezicule: leziuni dureroase care pot îngreuna mestecarea și vorbirea.
  • Sângerare gingivală și durere la periaj: pot apărea la contact sau spontan în formele mai active.
  • Halitoză și hipersalivație: modificări ale respirației și secreției salivare care pot contribui la disconfort.

Pe lângă manifestările locale, pot apărea și semne generale care variază în funcție de severitate; de exemplu febră ușoară, adenopatie regională sau stare generală alterată, iar copiii pot refuza alimentația sau pot prezenta risc de deshidratare. Dacă simptomele sunt intense, persistente sau asociate cu dificultăți în alimentație, este prudent să solicitați evaluarea unui specialist; pentru informații suplimentare puteți consulta resursele locale folosind linkul /?s=gingivo-stomatita.

Cauze și factori favorizanți

Cauze și factori favorizanți

Inflamaţia poate avea cauze variate: frecvent sunt implicate agenţi infecţioşi, cum ar fi virusuri (inclusiv virusul herpes simplex şi alţi enterovirusuri), fungi (de exemplu Candida) şi, uneori, suprainfecţii bacteriene; de asemenea, traumatismul local prin muşcătură, proteze neadecvate sau expunerea la substanţe iritante pot contribui la apariţie. Reacţii locale la alimente sau la materiale dentare pot să amplifice inflamaţia, iar procedurile stomatologice recente pot crea contexte în care simptomele devin mai evidente.

Factorii generali care pot favoriza manifestarea includ stări care reduc capacitatea de apărare a mucoasei orale, precum imunodepresia sau anumite afecţiuni cronice, precum şi tulburările nutriţionale care pot contribui la sensibilitate (deficite de vitamine şi minerale). Comportamentele şi condiţiile locale, cum ar fi igiena orală neadecvată, fumatul, uscăciunea bucală, stresul sau refluxul gastroesofagian, pot, de asemenea, să favorizeze apariţia sau persistenţa simptomelor; pentru informaţii suplimentare puteţi consulta resursele disponibile la /?s=gingivo-stomatita.

Când să mergi la medic

Când să mergi la medic

Semne care necesită atenție

Dacă simptomele se intensifică, persistă sau apare o stare generală de rău, ar fi indicat să solicitați evaluare medicală. Unele semne pot sugera o complicație sau o infecție care necesită tratament profesional, iar o evaluare promptă poate ajuta la stabilirea cauzei și la orientarea tratamentului adecvat.

  • Durere intensă sau care se agravează: dacă durerea orală interferează cu alimentația sau somnul, o evaluare medicală poate clarifica cauza și opțiunile de ameliorare.
  • Febră sau frisoane: prezența febrei poate indica o reacție inflamatorie sau infecție care ar putea necesita tratament sau investigații suplimentare.
  • Dificultate la înghițire sau respirație: aceste simptome pot fi semne de extindere a inflamației și impun consult medical imediat.
  • Leziuni care nu se vindecă sau se extind, sângerare persistentă: orice modificare persistentă a mucoasei orale sau sângerare ce nu cedează ar fi potrivit să fie evaluată de un specialist.
  • Persoane vulnerabile: sugarii, persoanele în vârstă, cele cu diabet sau imunosupresie ar trebui să consulte mai devreme, deoarece riscul de complicații poate fi mai mare.

La consult, profesionistul poate recomanda măsuri de îngrijire, investigaţii sau encaminare către un specialist; informaţi medicul despre istoricul medical și medicamentele curente, deoarece acestea pot influența managementul. Notă: dacă simptomele par severe sau se agravează rapid, contactați serviciile medicale adecvate fără întârziere.

Diagnostic pe scurt

Diagnostic pe scurt

Evaluarea începe cu o anamneză detaliată și examinare clinică a cavității bucale; aspectul, distribuția leziunilor, prezența durerii sau sângerării și semnele generale pot orienta spre cauză. Investigațiile de laborator sau un exsudat bucal pot contribui la confirmarea unei etiologii infecțioase sau la identificarea unor condiții sistemice subiacente, iar interpretarea rezultatelor trebuie realizată de un specialist.

Diagnosticul diferențial include afecțiuni precum aftoza, candidoza sau herpesul oral și, uneori, manifestări ale unor boli generale; recunoașterea semnelor de alarmă – cum ar fi febra persistentă, dificultatea la înghițire, deshidratarea sau leziunile care nu se remit – poate indica necesitatea evaluării urgente. Măsurile de igienă orală și măsuri suportive pot ajuta la confort, iar intervențiile specifice recomandate de medic pot susține vindecarea; pentru informații suplimentare consultați / ?s=gingivo-stomatita.

Abordări terapeutice convenționale

Abordări terapeutice convenționale

Tratamentul se concentrează, de obicei, pe reducerea inflamaţiei şi a disconfortului prin măsuri locale şi intervenţii stomatologice. Igiena orală riguroasă şi îndepărtarea factorilor locali iritanţi prin detartraj şi corectarea restaurărilor defectuoase pot contribui semnificativ la ameliorare; produse antiseptice orale şi geluri topice pentru confort pot ajuta temporar la reducerea durerii și a inflamaţiei, însă utilizarea lor ar trebui discutată cu un specialist. Alimentaţia blândă, hidratarea şi evitarea iritanţilor (fumat, alimente acide/condimentate) pot susține procesul de vindecare.

În cazuri selectate, tratamentul medical sistemic poate fi luat în considerare sub supravegherea medicului: de exemplu, terapii antimicrobiene pot fi recomandate dacă există suspiciunea unei suprainfecţii bacteriene, iar tratamente antivirale pot fi evaluate pentru formele virale acute de tip herpetic. Corticosteroizii sistemici sau topici pot fi utilizați în anumite situaţii de inflamaţie severă doar la indicaţia specialistului. Identificarea şi corectarea factorilor sistemici contribuitori, precum controlul glicemiei sau ajustarea unor medicamente care pot afecta gingia, fac parte dintr-un plan individualizat de îngrijire; discutați cu medicul sau medicul stomatolog pentru a stabili ce opţiuni sunt adecvate pentru situaţia dumneavoastră.

Remedii naturiste

Remedii naturiste

Persoanele care se confruntă cu gingivo-stomatita pot lua în considerare complementare care pot susține calmarea locală și igiena orală, însă aceste opțiuni nu înlocuiesc evaluarea medicală; informații suplimentare pot ajuta la documentare înainte de a decide utilizarea lor.

Extracte vegetale uzuale

  • Mușețel: poate ajuta la calmarea mucoasei orale și are proprietăți antiinflamatorii ușoare, contribuind la reducerea disconfortului.
  • Galbenele (calendula): poate contribui la regenerarea mucoasei și are acțiuni antiseptice blânde.
  • Aloe vera: poate susține hidratarea locală și poate diminua senzația de iritație când este folosită în forme potrivite pentru cavitatea orală.

Vitamine & minerale

  • Vitamina C: poate susține integritatea țesutului gingival și răspunsul imun local.
  • Zinc: poate contribui la procesele de vindecare și la menținerea echilibrului microbian la nivelul cavității orale.

Alte opțiuni naturale

  • Probiotice: pot ajuta la restabilirea echilibrului microbian oral și pot susține reducerea simptomelor ca adjuvant.

Atenționare: Remediile naturale sunt complementare; pot exista interacțiuni. Discutați cu specialistul înainte de utilizare.

Stil de viață și prevenție

Stil de viață și prevenție

Igiena orală blândă și consecventă – periaj cu o periuță moale, folosirea aței dentare adaptate și clătiri indicate de specialist – poate ajuta la reducerea iritației gingivale și la limitarea acumulării plăcii bacteriene; știm că disconfortul oral poate fi supărător, iar măsurile simple pot contribui la ameliorare. Adoptarea unei diete moi, evitarea alimentelor foarte acide, picante sau abrazive și hidratarea adecvată poate contribui la confortul local, iar renunțarea la fumat și la consumul de alcool poate susține procesul de refacere.

Pentru prevenirea transmiterii, spălatul frecvent pe mâini, evitarea împărțirii ustensilelor sau a contactului apropiat când sunt leziuni active și igienizarea obiectelor comune poate ajuta la reducerea riscului. Menținerea unei stări generale bune – somn adecvat, alimentație echilibrată și controale stomatologice regulate – poate contribui la reziliența mucoasei orale; consultați un specialist dacă simptomele sunt severe, se agravează sau apar semne generale de infecție. Mai multe informații: /?s=gingivo-stomatita

Întrebări frecvente

Î: Ce este gingivo-stomatita?
R: Gingivo-stomatita este inflamaţia gingiilor şi a mucoasei bucale, care se manifestă prin durere şi leziuni la nivelul cavităţii orale; forma şi severitatea pot varia în funcţie de cauză.

Î: Care pot fi cauzele acestei afecţiuni?
R: Cauzele pot include infecţii virale sau bacteriene, traumatisme locale, igienă orală deficitară sau afecţiuni sistemice, adesea cu factori multipli implicaţi; evaluarea medicală ajută la identificarea cauzei probabile.

Î: Ce simptome sunt frecvente?
R: Simptomele uzuale includ durere, roşeaţă şi umflături ale gingiilor, ulceraţii sau sângerare, respiraţie urât mirositoare şi dificultăţi la mestecat sau vorbire; în unele cazuri pot apărea febră şi stare generală alterată.

Î: Ce îngrijire pot face acasă pentru a uşura simptomele?
R: Măsuri generale utile sunt igiena orală blândă, clătiri cu soluţii saline sau apă călduţă, evitarea alimentelor iritante şi consumul de alimente moi; pentru tratamente medicamentoase sau remedii simptomatice solicitaţi sfatul unui profesionist.

Î: Când este recomandat să consult un medic sau dentist?
R: Solicitaţi asistenţă medicală dacă durerea este severă, apar dificultăţi la înghiţire sau respiraţie, există febră persistentă, semne de răspândire a infecţiei, deshidratare sau dacă simptomele nu se ameliorează în câteva zile; consultaţia profesională este indicată şi pentru copii, persoane imunocompromise sau cazuri recurente.

În concluzie

Gingivo-stomatita se manifestă prin inflamație a gingiilor și mucoasei orale, cu semne comune precum durere, roșeață și leziuni care pot afecta alimentația și confortul. Cauzele pot include infecții, traumatisme locale sau factori sistemici, iar îngrijirea vizează igiena orală atentă, evitarea iritanților și măsuri simptomatice pentru a ameliora disconfortul. Este importantă evaluarea de către un medic sau medic dentist atunci când simptomele sunt severe, persistente sau însoțite de febră, pentru a clarifica cauza și a stabili conduita adecvată. Informați-vă din surse specializate și discutați opțiunile de tratament cu profesioniști pentru recomandări adaptate situației personale.

Atenționare: Informațiile au caracter informativ și nu înlocuiesc consultul medical. Pentru recomandări personalizate, adresați-vă specialistului.



Miercuri, 29 aprilie 2026

Ofertă Limitată! Suferiți de gingivo-stomatită? Completați acum formularul și primiți pe email și telefon informațiile terapeutice gratuite și rețeta de tratament eficient pentru gingivo-stomatită!

  • Completați a@a.com dacă nu aveți email
  • Veți primi un SMS când este gata aici

Te-ar mai putea interesa

Lasă un răspuns

Adresa ta de email nu va fi publicată. Câmpurile obligatorii sunt marcate cu *