Afecțiuni și remedii

03 Sep 2025

Parodontoza: mituri demontate și fapte esențiale

Parodontoza: mituri demontate și fapte esențiale

Mulți cred că parodontoza este rezultatul exclusiv al igienei orale precare. În realitate, boala parodontală implică interacțiuni complexe între bacterii orale, răspunsul imun, factorii genetici și starea generală de sănătate, iar abordarea potrivită variază în funcție de fiecare persoană. Vom demonta mituri și evidenția fapte esențiale, într-un mod responsabil și clar, pentru a sprijini decizii informate.
Parodontoza explicată: ce este și de ce contează
Semne frecvente ale parodontozei la care să fii atent
Cauze comune și factori care cresc riscul de boală
Când este momentul să consulți medicul stomatolog
Evaluarea diagnostică pe scurt: ce presupune investigarea
Tratamente convenționale recomandate și ce poți aștepta
Opțiuni naturiste și măsuri complementare pentru susținere
Schimbări în stilul de viață pentru prevenție și sănătatea gingiilor

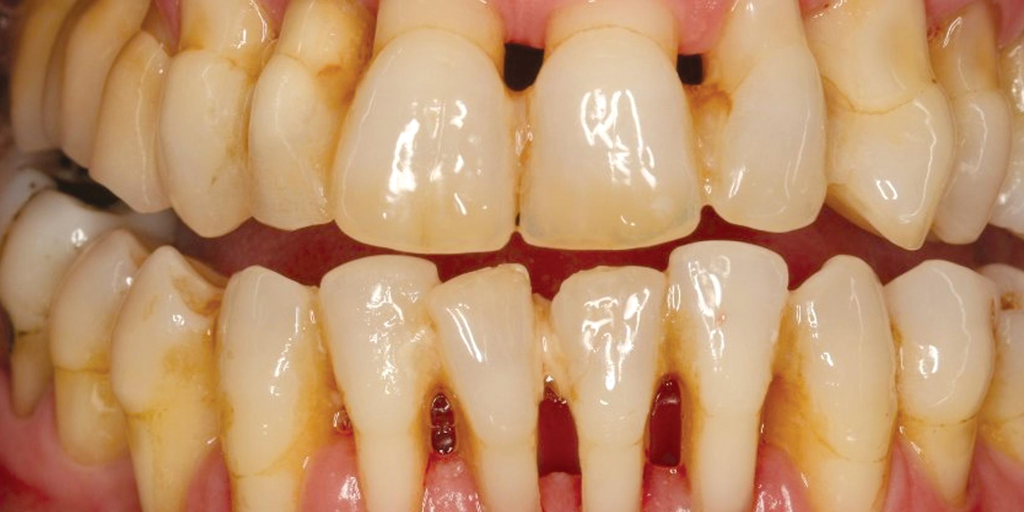
Ce este parodontoza și semne care cer atenție

Parodontoza este o inflamație cronică a țesuturilor care susțin dinții; poate începe cu gingivită și, dacă progresează, duce la pierderea atașamentului și la retracția gingivală. Semne frecvente includ sângerare la periaj, respirație urât mirositoare persistentă, retracție gingivală, mobilitatea dinților și puroi la nivelul gingiei. Dacă apar durere intensă, puroi abundent, febră sau mobilitate marcată, este indicat să consulți un specialist.

Rutina de dimineață: pași simpli și plante utile

Începe ziua cu igiena orală obișnuită (periaj blând, ața interdentară) și completează cu o clătire pe bază de plante care poate susține reducerea plăcii bacteriene și a inflamației. Infuziile de salvie sau ceai verde folosite ca apă de gură pot avea un efect calmant și antimicrobian local. Propolisul, aplicat punctual sub formă de soluție sau gel, poate susține refacerea mucoasei.

  • Periaj blând și ață interdentară înainte de orice aplicare locală.
  • Clătire cu infuzie de ceai verde sau salvie, răcită; clătirea trebuie făcută cu blândețe și fără înghițire.
  • Aplicare locală de propolis sau extracte astringente (de exemplu din scoarță de stejar) pentru gingii sensibile, dacă nu există alergii.

Rutina de seară: îngrijire calmantă și regenerantă

Seara este momentul pentru tratamente mai concentrate care pot susține regenerarea: comprese cu mușețel sau calendula pot calma țesuturile, iar soluțiile ușor astringente pot ajuta controlul sângerării. Uleiurile volatile pot fi utile în diluții adecvate pentru igiena locală, dar trebuie folosite cu precauție pentru a evita iritația.

  • Comprese calde cu mușețel sau macerat de calendula pentru 5-10 minute, aplicate extern pe gingie.
  • Clătire ușoară cu soluție pe bază de extracte vegetale antiinflamatorii înainte de culcare.
  • Evitarea suprasolicitării gingiei prin periaj agresiv; preferă mișcări delicate.

Obiective și activități săptămânale

Planifică obiective practice pentru o săptămână: monitorizare, intensificare temporară a tratamentelor topice și o sesiune de evaluare a progresului. O dată pe săptămână poți aplica tratamente mai consistente (compresă, tinctură aplicată local, periaj cu pulberi blânde pe bază de plante), urmărind toleranța țesuturilor.

  • Ziua 1-3: introdu un singur remediu nou pentru a evalua reacția locală.
  • Ziua 4-6: menține tratamentele care au toleranță bună; documentează observațiile (sângerare, durere, senzație).
  • Ziua 7: reevaluează și ajustează; dacă există semne de agravare, întrerupe remediul și contactează un profesionist.

Fitoterapie practică: plante și forme de administrare

Fitoterapia oferă multe opțiuni pentru susținerea sănătății gingivale. Mai jos sunt plante frecvent utilizate, cu forme de aplicare și roluri posibile. Formele includ infuzii, tincturi, gemoderivate, extracte standardizate, pulberi, macerate și uleiuri volatile.

Salvie (Salvia officinalis)

Proprietăți: antiinflamator, antiseptic local. Forme și integrare: infuzie pentru clătire, tinctură diluată aplicată punctual. Atenționare: evită utilizarea prelungită în sarcină și la persoanele cu sensibilitate la uleiurile volatile.

Mușețel (Matricaria recutita)

Proprietăți: calmant, antiseptic blând. Forme și integrare: comprese cu infuzie, clătiri blânde; potrivit pentru gingii inflamate și pentru a calma iritația.

Calendula (Calendula officinalis)

Proprietăți: cicatrizant, antiinflamator. Forme și integrare: macerat pentru comprese, tinctură pentru aplicare externă sau geluri locale preparate din extracte. Poate fi folosit ca tratament de susținere după curățări profesionale.

Smirnă/Myrrh (Commiphora)

Proprietăți: astringent, antiinflamator, util pentru reducerea sângerării gingivale. Forme și integrare: tinctură pentru clătiri ușoare sau aplicare punctuală sub supraveghere; poate fi combinată cu alte extracte pentru efect sinergic.

Ceai verde (Camellia sinensis)

Proprietăți: polifenoli cu potențial antiinflamator și antimicrobial. Forme și integrare: clătiri reci sau calde, ca parte din igienă zilnică. Poate contribui la reducerea biofilmului bacterian când este folosit constant.

Cuisoare (Syzygium aromaticum)

Proprietăți: analgezic local prin eugenol, antiseptic. Forme și integrare: ulei volatil diluat pentru aplicare locală temporară; atenție la riscul de iritație și la interacțiuni cu medicamente care afectează coagularea.

Propolis

Proprietăți: antimicrobian, cicatrizant. Forme și integrare: tinctură sau gel aplicat punctual; poate susține epitelizarea și controlul inflamației locale. Alergiile la produse apicole trebuie evaluate înainte de utilizare.

Formă Utilizare obișnuită Observație de siguranță
Infuzie Clătire, comprese Nu înghiți; folosește temperatură confortabilă
Tinctură/Extract Aplicare punctuală diluată Testează pe o zonă mică pentru sensibilitate
Ulei volatil Clătire diluată sau aplicare externă Poate irita; evită ingestia
Gemmoterapice Suport regenerativ local Introdu treptat și monitorizează

Siguranță, contraindicații și posibile interacțiuni

Chiar dacă sunt naturale, plantele pot interacționa cu medicamente (de exemplu anticoagulante) sau pot influența tensiunea arterială și glicemia; unele uleiuri volatile pot provoca alergii sau iritații. În sarcină, alăptare, boli autoimune sau când urmezi tratamente medicale cronice, consultă un specialist înainte de a începe terapii naturale. Oprită promptă în cazul iritației, erupțiilor sau agravării simptomelor este prudentă.

Cum introduci treptat un remediu și cum monitorizezi

Adoptă principiul „un schimbare la un moment”: introdu un singur remediu și urmărește reacția timp de câteva zile. Notează modificările în sângerare, sensibilitate și senzația generală. Dacă apare iritație sau intoleranță, încetează utilizarea și reevaluează. Păstrează comunicarea cu medicul dentist pentru a integra remedii naturiste cu tratamente profesionale.

Integrarea tratamentelor pe bază de plante în rutina zilnică trebuie făcută gradual, ținând cont de toleranță și de tratamentele medicamentoase existente.

Pași practici pentru prima lună

Săptămâna 1: concentrează-te pe igienă corectă și clătiri blânde cu salvie sau ceai verde. Săptămâna 2: adaugă comprese cu mușețel sau calendula seara; monitorizează. Săptămâna 3: dacă toleranța este bună, poți aplica propolis punctual; evită combinarea a prea multe produse noi. Săptămâna 4: evaluează progresul și programează o verificare profesională dacă persistă sângerarea sau disconfortul.

Stil de viață care completează plantele

Somn adecvat, reducerea stresului, activitate fizică regulată și o alimentație echilibrată pot susține răspunsul țesuturilor la tratamentele locale. Introdu schimbări treptat și urmărește cum reacționează organismul; hidratarea și evitarea fumatului sunt aspecte practice care influențează vindecarea gingiilor.

Rezumat

Parodontoza poate fi gestionată complementar cu tratamente fitoterapice integrate într-o rutină zilnică și săptămânală: infuzii de salvie sau ceai verde, comprese cu mușețel sau calendula, propolis și extracte astringente pot contribui la reducerea inflamației și la susținerea regenerării. Introdu remedii treptat, monitorizează reacțiile și consultă un profesionist în caz de semne de agravare sau când urmezi tratamente medicamentoase.

Concluzii și recomandări

  • Parodontoza nu este doar un mit; este o afecțiune comună care, dacă este identificată și gestionată din timp, poate fi controlată pentru a reduce progresia.
  • Igiena orală riguroasă și vizitele periodice la medicul dentist rămân pilonii cei mai importanți în prevenție și monitorizare.
  • Factorii de risc precum fumatul, diabetul sau igiena necorespunzătoare pot agrava boala, deci gestionarea acestor elemente contribuie la rezultatele mai bune.
  • În caz de suspiciune sau simptome (sângerare a gingiilor, retractare gingivală, mobilitate dentară), consultați un specialist pentru evaluare și plan terapeutic adecvat.

Atenționare: Informațiile au caracter informativ și nu înlocuiesc consultul medical. Pentru recomandări personalizate, adresați-vă specialistului.



Joi, 30 aprilie 2026

Ofertă Limitată! Suferiți de parodontoză? Completați acum formularul și primiți pe email și telefon informațiile terapeutice gratuite și rețeta de tratament eficient pentru parodontoză!

  • Completați a@a.com dacă nu aveți email
  • Veți primi un SMS când este gata aici

Te-ar mai putea interesa

Lasă un răspuns

Adresa ta de email nu va fi publicată. Câmpurile obligatorii sunt marcate cu *