Rahitism la copii: cauze, semne și prevenție
Cuprins
- Ce este rahitismul și ce implică pentru copil
- Simptome frecvente la copii semne fizice și comportamentale de urmărit
- Cauze și factori favorizanți carențe nutriționale expunere redusă la soare și condiții asociate
- Când să mergi la medic semnale de alarmă și situații care necesită evaluare medicală
- Diagnostic pe scurt pași de evaluare inițială și investigații uzuale
- Abordări terapeutice convenționale opțiuni de tratament și monitorizare medicală
- Remedii naturiste considerente de siguranță eficacitate și posibile riscuri
- Stil de viață și prevenție măsuri practice pentru reducerea riscului
- Întrebări frecvente
- Concluzii și recomandări

Ce este rahitismul și ce implică pentru copil
Rahitismul este o tulburare a creșterii osoase la copil caracterizată prin mineralizare insuficientă a matricei osoase în perioada de dezvoltare, fiind frecvent legată de aportul deficitar sau de metabolismul inadecvat al nutrienților esențiali pentru os. În practică, această condiție poate fi asociată cu modificări ale formei oaselor, întârzieri în creștere sau sensibilitate osoasă; cauzele și severitatea variază și necesită evaluare medicală pentru a stabili mecanismele implicate și planul optim de intervenție (rahitism).
Impactul asupra copilului depinde de momentul apariției și de cât de repede sunt identificate și corectate dezechilibrele nutriționale sau metabolice. Urmările pot include deformări scheletice care pot necesita monitorizare pe termen lung, iar managementul adecvat se discută cu medicul pediatru sau cu un specialist în endocrinologie pediatrică; strategiile de susținere pot include adaptări nutriționale, expunere responsabilă la soare și alte măsuri recomandate de clinician.
Extracte vegetale uzuale
- Urzică (Urtica dioica): poate contribui la aportul de minerale când este inclusă ca parte a unei alimentații variate, fără a înlocui tratamentul medical.
- Fenicul (Foeniculum vulgare): poate susține confortul digestiv și, indirect, absorbția optimă a unor nutrienți esențiali.
- Turmeric/curcumină: poate avea efecte antiinflamatoare care susțin starea generală, dar nu înlocuiește intervenția medicală specifică pentru afecțiuni metabolice ale oaselor.
Vitamine & minerale
- Vitamina D: rol posibil în susținerea absorbției calciului la nivel intestinal și a sănătății osoase.
- Calciu: rol posibil în furnizarea elementelor necesare pentru mineralizarea osoasă în contextul unei alimentații echilibrate.
Alte opțiuni naturale
- Omega‑3: poate contribui la susținerea stării inflamatorii și generale a copilului, ca parte a unei abordări integrate.
Atenționare: Remediile naturale sunt complementare; pot exista interacțiuni cu alte tratamente sau condiții medicale. Discutați cu specialistul înainte de utilizare.

Simptome frecvente la copii semne fizice și comportamentale de urmărit
Semne care impun evaluare medicală
Copiii cu probleme ale mineralizării osoase pot prezenta semne fizice observabile la nivelul scheletului și al dinților; acestea pot include deformări ale membrelor inferioare (alungire sau arcuit), întârziere în creștere staturo-ponderală, durere sau sensibilitate osoasă și întârzieri în erupția dentară. Alte manifestări pot fi fontanele care se închid mai lent sau modificări ale toracelui; astfel de semne merită evaluare de către un specialist pentru a stabili cauzele posibile.
- Semne fizice: deformări ale picioarelor, dureri osoase sau sensibilitate la palpare, întârziere în creșterea în înălțime, probleme dentare sau fontanele persistente.
- Semne comportamentale și funcționale: iritabilitate, scăderea apetitului, tulburări ale somnului, întârziere în achizițiile motorii (apasare, mers) sau evitarea efortului fizic din cauza durerii.
Prezența unuia sau mai multor semne enumerate poate sugera necesitatea unei evaluări medicale mai ample; investigarea este importantă pentru a identifica factorii contribuitori și pentru a stabili un plan de monitorizare adecvat. Discutați observațiile cu pediatrul sau cu un specialist în endocrinologie/pediatrie, care poate ajuta la clarificarea cauzei și la recomandarea pașilor următori.

Cauze și factori favorizanți carențe nutriționale expunere redusă la soare și condiții asociate
Deficitul de nutrienți esențiali poate fi un factor important în dezvoltarea rahitismului la copii. Dieta cu aport insuficient de vitamina D, calciu sau fosfați, precum și condițiile care reduc absorbția intestinală – de exemplu boala celiacă sau fibroza chistică – pot contribui la perturbarea mineralizării osoase. De asemenea, prematuritatea și deficitul de vitamina D la mamă pot crește vulnerabilitatea sugarului, iar bolile hepatice sau renale cronice pot afecta metabolizarea nutrienților importanți pentru sănătatea oaselor.
- Diete restrictive sau aport alimentar insuficient: pot reduce disponibilitatea nutrienților esențiali și, în consecință, pot contribui la riscul de rahitism.
- Afecțiuni cu malabsorbție: pot limita absorbția vitaminei D și a mineralelor necesare pentru formarea osoasă.
- Factori care reduc expunerea la soare: pielea foarte pigmen-tată, utilizarea frecventă a protecției solare, haine care acoperă mult corpul, viața preponderent în interior sau locuirea la latitudini nordice/pe timpul iernii pot diminua sinteza cutanată a vitaminei D.
- Medicații sau condiții metabolice: anumite situații medicale sau tratamente pot influența metabolismul vitaminei D și al calciului, ceea ce poate contribui la dezvoltarea problemelor osoase.
Expunerea redusă la soare este un determinat frecvent asociat cu deficitul de vitamina D; acest aspect, combinat cu factorii nutriționali și medicali de mai sus, poate crește riscul de rahitism. Dacă există îngrijorări legate de nutriție, expunerea la soare sau de sănătatea osoasă a copilului, este recomandat să discutați cu medicul pediatru sau cu un specialist în endocrinologie pediatrică pentru evaluare și orientare personalizată.

Când să mergi la medic semnale de alarmă și situații care necesită evaluare medicală
Semne care necesită evaluare medicală
Dacă observați la copil semne persistente precum durere osoasă, deformări ale membrelor sau încetinire marcantă a creșterii, este indicat să solicitați evaluarea unui medic pediatru. Unele manifestări pot fi consecinţa unor deficite nutriționale sau a unor afecțiuni asociate și pot necesita investigații suplimentare; discuția cu un specialist poate ajuta la clarificarea cauzelor posibile și la stabilirea pașilor următori.
- Convulsii sau spasme musculare: apariția crizelor tonico-clonice, spasmele faciale sau contracțiile musculare involuntare pot necesita asistență medicală imediată deoarece pot fi legate de dezechilibre electrolitice.
- Durere severă sau fractură aparentă: orice durere acută osoasă, tumefacție sau limitare bruscă a mobilității după un traumatism modest poate necesita evaluare și imagistică.
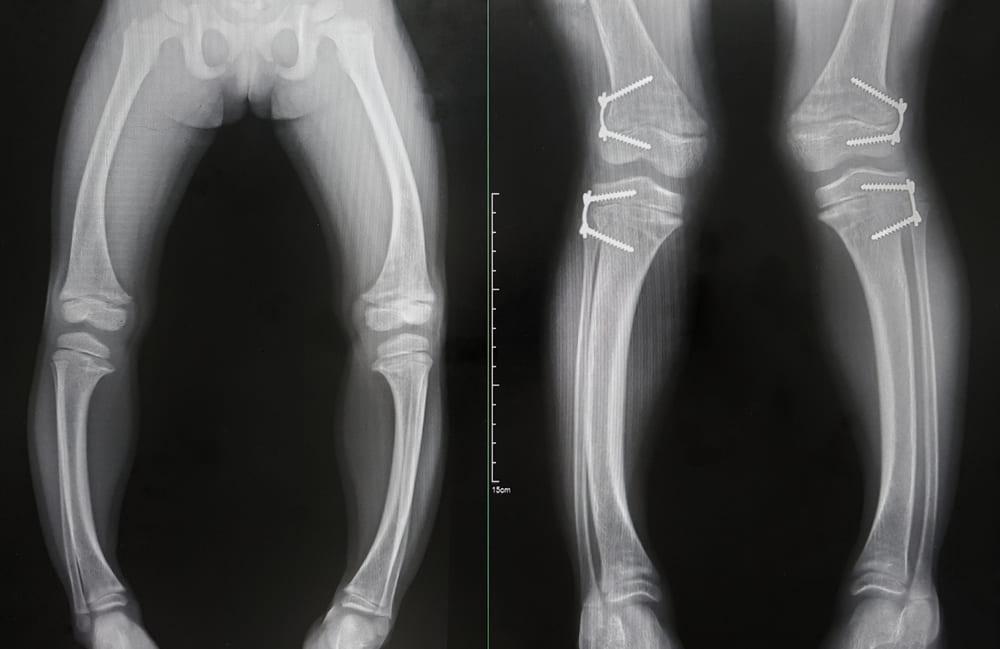
- Deformări evidente ale picioarelor sau toracelui: deviații progresive ale membrelor, mers șchiopătat sau modificări ale formelor toracice pot indica necesitatea unei evaluări ortopedice și metabolice.
- Întârzieri în dezvoltare motorie sau creștere insuficientă: lipsa îndeplinirii repere‑lor de dezvoltare sau o creștere sub așteptări ar putea necesita investigații pentru cauze nutriționale sau medicale.
Dacă copilul prezintă oricare dintre semnele de mai sus sau are factori de risc precum prematuritatea, alimentație restrictivă, expunere solară foarte redusă, afecțiuni care afectează absorbția intestinală ori tratamente cronice care pot influența metabolismul, discutați cu medicul pediatru pentru evaluare. Investigațiile pot include analize de laborator și imagistică care să ofere informații suplimentare; dacă apare un spasm sau convulsie, solicitați asistență de urgență imediat. Pentru resurse informative suplimentare despre rahitism, accesați informații despre rahitism.
Diagnostic pe scurt pași de evaluare inițială și investigații uzuale
Evaluarea inițială se bazează pe anamneză și examen clinic detaliat: istoricul alimentației, expunerea la soare, antecedente familiale și simptome musculoscheletale sunt elemente pe care medicul le poate investiga pentru a orienta diagnosticul. Măsurile standard de creștere şi dezvoltare, semnele clinice de deformare osoasă, hipotonie sau întârzieri dentare pot contribui la suspiciunea clinică; rezultatele inițiale pot susține necesitatea unor investigații suplimentare. Pentru informații generale despre această condiție vezi rahitism.
Investigații uzuale
- Calciu seric: poate ajuta la evaluarea echilibrului calciului și a aportului/absorbției.
- Fosfor seric: poate contribui la diferenţierea unor patternuri metabolice asociate cu modificările osoase.
- Fosfatază alcalină: poate indica activitatea de remodelare osoasă și este frecvent utilă în contextul clinic relevant.
- 25‑OH vitamina D: poate susține evaluarea statusului vitaminic și orienta managementul nutrițional.
- Parathormon (PTH): poate ajuta la diferențierea unor cauze endocrine ale tulburărilor de minerale.
- Radiografie osoasă: poate evidenția modificări caracteristice la nivelul metafizelor şi altor regiuni, contribuind la clarificarea diagnosticului.
- Teste suplimentare (genetice sau metabolice): pot fi indicate în cazurile atipice sau refractare pentru a identifica cauze ereditare sau secundare.
Atenție: Interpretarea rezultatelor și decizia privind investigațiile suplimentare trebuie realizate de un specialist; abordarea poate varia în funcţie de vârsta copilului, contextul clinic şi resursele disponibile.

Abordări terapeutice convenționale opțiuni de tratament și monitorizare medicală
Tratamentul convențional al rahitismului la copii se concentrează pe corectarea dezechilibrelor nutriționale şi pe tratarea cauzelor subiacente identificate de echipa medicală. Intervenţiile pot include suplimentare cu vitamine şi minerale recomandate de specialist, evaluarea şi tratarea eventualelor tulburări de absorbţie sau boli renale, precum şi consulturi interdisciplinare cu pediatrie şi endocrinologie pentru planificarea terapiei. În cazurile cu deformări scheletice semnificative, poate fi luată în considerare intervenţia ortopedică sau programe de fizioterapie pentru a susține funcția și dezvoltarea motrică.
Monitorizarea medicală regulată rămâne esențială: urmărirea creșterii şi dezvoltării, evaluări periodice ale parametrilor biochimici şi, când este indicat, imagistică pentru a aprecia evoluția oaselor. Comunicarea continuă între familie şi echipa medicală poate contribui la ajustarea planului terapeutic în funcție de răspunsul copilului la tratament. Pentru informații suplimentare legate de subiect, puteți verifica resurse dedicate la /?s=rahitism Atenție: deciziile terapeutice trebuie luate de către cadre medicale calificate în urma evaluării individuale.

Remedii naturiste considerente de siguranță eficacitate și posibile riscuri
Remediile naturiste pot fi complementare măsurilor medicale în gestionarea rahitismului la copii, dar nu trebuie privite ca înlocuitor pentru evaluarea și tratamentul făcut de un medic pediatru sau endocrinolog; unele plante și strategii nutritive pot contribui la susținerea stării generale și a aportului de nutrienți esențiali. Pentru informații suplimentare despre condiție și recomandări bazate pe ghiduri clinice, consultați resursele disponibile la /?s=rahitism.
Extracte vegetale uzuale
- Urzica (Urtica dioica): poate contribui la aportul de minerale precum calciul și fierul și poate susține starea nutrițională generală atunci când este folosită ca parte a unei diete variate.
- Alfalfa (Medicago sativa): poate furniza vitamine și minerale care sprijină aportul nutrițional, însă eficacitatea în contextul rahitismului trebuie considerată complementar tratamentului medical.
- Coada-calului (Equisetum arvense): poate fi sugerată pentru susținerea țesutului conjunctiv datorită conținutului de siliciu, dar utilizarea sa trebuie evaluată cu atenție din cauza posibilelor interacțiuni.
Vitamine & minerale
- Vitamina D: poate susține absorbția calciului și echilibrul mineral necesar pentru sănătatea oaselor.
- Calciu: poate contribui la formarea și menținerea structurii osoase în contextul unei alimentații adecvate.
Alte opțiuni naturale
- Probiotice: pot susține sănătatea intestinală și, indirect, procesul de absorbție a unor nutrienți importanți.
Atenționare: Remediile naturale sunt complementare; pot exista interacțiuni cu tratamente medicamentoase și condiții medicale preexistente. Discutați cu specialistul înainte de utilizare.

Stil de viață și prevenție măsuri practice pentru reducerea riscului
Adoptarea unor obiceiuri cotidiene bine structurate poate contribui la reducerea riscului de rahitism. O alimentație variată, care include surse alimentare de calciu și vitamina D, expunerea regulată la lumină naturală în condiții de siguranță și încurajarea activității fizice în aer liber pot susține dezvoltarea osoasă la copii. Dacă există factori de risc sau îngrijorări legate de creștere, medicul pediatru poate recomanda investigaţii sau intervenţii suplimentare; discutați cu un specialist înainte de orice tratament. Pentru resurse suplimentare, consultați rahitism.
- Expunere moderată la soare: expunerea regulată, protejată, poate ajuta sinteza vitaminei D la nivelul pielii, evitând în același timp arsurile solare.
- Alimentație echilibrată: includerea alimentelor care contribuie la aportul de calciu și vitamina D poate susține sănătatea osoasă, adaptându-se la vârsta și toleranțele copilului.
- Activitate fizică regulată: jocul în aer liber și exercițiile care solicită oasele pot contribui la întărirea scheletului în dezvoltare.
- Urmărire medicală periodică: controalele pediatrice regulate și monitorizarea creșterii pot facilita identificarea timpurie a problemelor și ajustarea măsurilor preventive.
- Educație și mediu sigur: informarea părinților despre semne de risc și asigurarea unor condiții de joacă sigure pot reduce expunerea la factori care interferează cu absorbția nutrienților.
Atenție: Măsurile de prevenție pot fi complementare și trebuie discutate cu medicul pediatru; ele nu înlocuiesc evaluarea medicală individuală și recomandările specialistului.
Întrebări frecvente
Î: Ce este rahitismul?
R: Rahitismul este o tulburare a dezvoltării osoase la copii, determinată de o mineralizare insuficientă a oaselor în creștere; poate afecta creșterea şi forma oaselor și necesită evaluare medicală pentru stabilirea cauzei şi a conduitei terapeutice.
Î: Care sunt principalele cauze ale rahitismului?
R: Cauzele pot include deficienţe nutriţionale (de exemplu de vitamina D sau de minerale), expunere insuficientă la soare, tulburări de absorbţie intestinală sau alte afecţiuni metabolice; identificarea cauzei se face prin evaluare medicală şi investigaţii adecvate.
Î: Ce semne ar putea sugera rahitism la copil?
R: Semnele pot fi întârziere în creştere, deformări ale membrelor (de exemplu genu valgum sau varum), dureri sau slăbiciune musculară, întârzieri în apariţia dinţilor; dacă observaţi astfel de modificări, este indicat să consultaţi medicul pediatru.
Î: Cum poate fi prevenit rahitismul?
R: Prevenţia include o alimentaţie echilibrată, măsuri de expunere la soare în condiţii de siguranţă şi monitorizarea copiilor cu factori de risc; orice decizie privind suplimentarea trebuie luată în urma consultului medical.
Î: Ce se întâmplă dacă copilul are rahitism – este tratabil?
R: Multe afectări pot fi ameliorate prin tratament şi corectarea factorilor cauzali, în special dacă sunt diagnosticate precoce; prognosticul depinde de cauză şi de momentul intervenţiei, motiv pentru care planul terapeutic trebuie stabilit împreună cu un specialist.
Concluzii și recomandări
Rahitismul la copii reflectă dezechilibre care pot afecta creșterea și dezvoltarea osoasă; recunoașterea semnelor și identificarea factorilor de risc pot ghida măsurile preventive adecvate. Cauzele pot fi multifactoriale, iar evaluarea medicală rămâne importantă pentru a stabili diagnosticul și pașii următori. Promovarea unei alimentații echilibrate, a expunerii în condiții de siguranță la lumină naturală și a monitorizării pediatrice poate contribui la reducerea riscurilor. Informați-vă din surse de încredere și discutați orice nelămurire cu un specialist.
Atenționare: Informațiile au caracter informativ și nu înlocuiesc consultul medical. Pentru recomandări personalizate, adresați-vă specialistului.
Joi, 16 aprilie 2026
Ofertă Limitată! Suferiți de rahitism? Completați acum formularul și primiți pe email și telefon informațiile terapeutice gratuite și rețeta de tratament eficient pentru rahitism!
Sprijină-ne cu un share, mulțumim! ❤️
Te-ar mai putea interesa
diateza psoriazica
Diateza psoriazică: ce înseamnă, cum o recunoști și cum o ții sub control Diateza psoriazică:…
hipertrofie ganglionara
Hipertrofie ganglionară: cauze, simptome și când să mergi la medic Hipertrofie ganglionară: cauze, simptome și…
astenie sexuala
Astenie sexuală - Ce este, de ce apare și cum poate fi gestionată Astenia sexuală…
cataracta
Cataracta: simptome, cauze, tratament și prevenție - ghid complet Cataracta: ghid complet despre simptome, cauze…
