Sarcoidoza: înțelegere, simptome și management
Sarcoidoza este o afecțiune inflamatorie care poate implica diferite organe și țesuturi, manifestându-se prin acumulări celulare denumite granulome și printr-o varietate de simptome. Acest articol oferă o prezentare clară a semnelor posibile, a pașilor uzuali pentru evaluare și monitorizare, a opțiunilor de management discutate cu echipa medicală și a strategiilor practice pentru viața de zi cu zi, cu un ton empatic și responsabil, fără promisiuni de vindecare.
Cuprins
- Ce este sarcoidoza o prezentare clară și responsabilă
- Simptome frecvente semne și manifestări obișnuite pe care să le observați
- Cauze și factori favorizanți elemente care pot contribui la apariție
- Când să mergi la medic semne că este importantă evaluarea medicală
- Diagnostic pe scurt metode de evaluare utilizate de echipa medicală
- Abordări terapeutice convenționale opțiuni uzuale de tratament și monitorizare
- Remedii naturiste abordări complementare considerate în siguranță și limitările acestora
- Stil de viață și prevenție recomandări practice pentru gestionare și reducerea riscurilor
- Întrebări frecvente
- Concluzie

Ce este sarcoidoza o prezentare clară și responsabilă
Sarcoidoza este o boală inflamatorie sistemică caracterizată prin formarea de granuloame non-caseoase – aglomerări de celule imune care pot apărea în diverse organe. În mod frecvent sunt afectate plămânii și ganglionii limfatici, dar pot fi implicate și pielea, ochii, inima sau ficatul, iar expresia clinică variază de la forme asimptomatice la manifestări care pot afecta semnificativ calitatea vieții. Această variabilitate în evoluție înseamnă că unii pacienți pot avea o boală autolimitantă, iar alții pot necesita monitorizare și intervenții pe termen lung.
Cauza exactă rămâne neclară, însă există dovezi că este implicată o reacție imună anormală la factori genetici și de mediu. Diagnosticul se bazează pe evaluare clinică și investigații imagistice, analize și, atunci când este necesar, examinare histologică; abordarea terapeutică este individualizată și, de regulă, multidisciplinară. Tratamentul poate include strategii menite să reducă inflamația și să susțină funcția organelor, iar măsurile de urmărire regulată pot ajuta la detectarea schimbărilor în evoluție; este important să discutați opțiunile și planul de monitorizare cu echipa medicală.
Simptome frecvente semne și manifestări obișnuite pe care să le observați
Observații clinice
Manifestările sarcoidozei sunt variabile și depind în mare măsură de organele afectate; în multe cazuri simptomele pot fi subtile sau intermitente. Printre semnele frecvent întâlnite se numără:
- tuse persistentă: tuse uscată care nu cedează ușor;
- dispnee: senzație de respirație dificilă la efort sau în repaus;
- oboseală și slăbiciune: scăderea toleranței la efort și a energiei zilnice;
- durere toracică sau dureri articulare: disconfort care poate varia în intensitate;
- simptome generale: febră ușoară, scădere în greutate.
Pe lângă manifestările pulmonare, boala poate prezenta semne extrapulmonare precum leziuni cutanate, tulburări oculare sau adenopatie; de asemenea, pot apărea modificări metabolice care merită monitorizare. Dacă apar simptome persistente, afectarea vederii, semne neurologice sau impact semnificativ asupra calității vieții, este recomandat să solicitați evaluare medicală – investigațiile imagistice şi testele de laborator pot ajuta la clarificarea cauzei şi la orientarea managementului, iar deciziile terapeutice ar trebui luate împreună cu un specialist.

Cauze și factori favorizanți elemente care pot contribui la apariție
Etiologia precisă nu este complet cunoscută; în majoritatea cazurilor pare a fi vorba de o interacțiune complexă între predispoziție genetică, răspuns imun și expuneri externe. În cadrul bolii se observă un răspuns inflamator cu formare de granulomatoză, ceea ce sugerează că sistemul imunitar reacționează persistent la anumiți stimuli care pot fi diferiți de la o persoană la alta.
Printre elementele considerate ca posibile contribuții se regăsesc:
- Predispoziție genetică: anumite variații genetice și istoricul familial pot crește susceptibilitatea, ceea ce indică un rol al factorilor ereditari în risc.
- Disfuncție imună: un răspuns imun exagerat sau neregulat la stimuli externi poate favoriza formarea și menținerea granulomelor.
- Expuneri de mediu și ocupaţionale: contacte cu substanţe sau agenţi microbieni pot declanșa sau facilita un răspuns inflamator la persoanele predispuse.
- Factori demografici: variații în incidență între grupuri etnice și grupe de vârstă sugerează că atât mediul, cât și factorii biologici influențează apariția bolii.
De regulă, aceste elemente acționează într-un mod combinat, iar identificarea lor poate ajuta la orientarea investigațiilor și a planului terapeutic. Dacă există îngrijorări legate de simptome sau expuneri, este recomandat să căutați evaluarea unui specialist pentru a discuta contextul personal și opțiunile de monitorizare și tratament.

Când să mergi la medic semne că este importantă evaluarea medicală
Dacă apar simptome noi, se agravează semnificativ sau afectează viața de zi cu zi, este recomandat să solicitați evaluare medicală pentru a determina cauza și pentru a stabili dacă este nevoie de investigații sau tratament. Unele manifestări pot semnala implicare activă a unor organe importante; o evaluare promptă poate contribui la identificarea riscurilor și la planificarea urmăririi adecvate.
- Tuse persistentă sau dispnee în creștere: dificultatea de respirație sau tusea care nu se ameliorează poate justifica evaluare respiratorie.
- Durere toracică, palpitații sau sincopă: simptome cardiace noi sau schimbări ale ritmului pot necesita evaluare cardiologică rapidă.
- Modificări oculare: ochi roșii, durere, vedere încețoșată sau scăderea acuității vizuale pot necesita consult oftalmologic pentru prevenirea complicațiilor.
- Semne neurologice noi: cefalee severă, amorțeală, slăbiciune sau tulburări de vedere/somn pot indica implicare neurologică și merită evaluare promptă.
- Semne sistemice semnificative: febră persistentă, pierdere în greutate marcantă, transpirații nocturne sau erupții cutanate noi care se înrăutățesc pot necesita investigații suplimentare.
În cadrul evaluării, medicul poate recomanda investigații imagistice, evaluări funcționale sau consulturi interdisciplinare, în funcție de simptome; aceste opțiuni pot ajuta la clarificarea implicării organelor și la monitorizarea evoluției. Dacă sunteți sub monitorizare sau tratament pentru o boală sistemică, este prudent să contactați echipa medicală la orice schimbare semnificativă, deoarece ajustările terapeutice și supravegherea pot fi necesare.

Diagnostic pe scurt metode de evaluare utilizate de echipa medicală
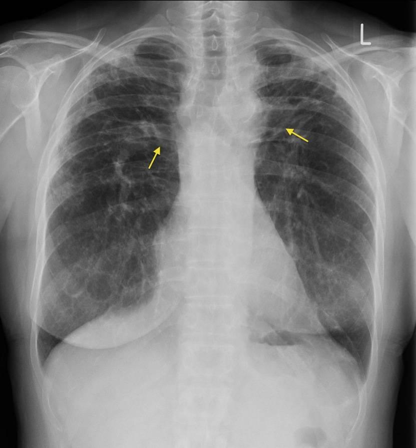
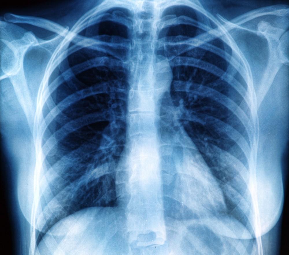
Evaluarea inițială realizată de echipa medicală pornește de la anamneză detaliată și examen clinic, urmând investigații imagistice care pot ajuta la identificarea pattern‑urilor sugestive ale bolii, precum radiografia toracică și tomografia computerizată (CT) toracică. Aceste investigații imagistice pot contribui la evidențierea adenopatiei mediastinale și a modificărilor pulmonare tipice, dar nu sunt întotdeauna suficiente pentru confirmare fără alte date clinice.
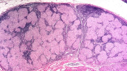
Teste funcționale respiratorii, cum ar fi spirometria și măsurarea difuziunii, pot susține evaluarea gravității afectării pulmonare, iar proceduri invazive precum bronhoscopia cu lavaj bronhoalveolar și diverse tehnici de biopsie (transbronșică, transbronșică ghidată sau chirurgicală) pot ajuta la obținerea materialului pentru examen histologic când este necesar. Rezultatele histologice și clinice sunt interpretate împreună de echipă pentru a evita concluzii izolate.
Echipa multidisciplinară poate completa evaluarea cu investigații pentru implicarea altor organe, cum ar fi teste sanguine uzuale, markerii inflamatorii, inclusiv nivelul ACE și calcemia, ECG și imagistică cardiacă pentru suspiciunea de afectare cardiacă, precum și examen oftalmologic; aceste teste pot contribui la documentarea extinderii bolii, dar nu sunt definitive individual. Deciziile diagnostice și terapeutice se stabilesc proactiv în colaborare cu specialiștii, adaptate la contextul fiecărui pacient.

Abordări terapeutice convenționale opțiuni uzuale de tratament și monitorizare
Managementul sarcoidozei este individualizat și urmărește reducerea inflamației active, prevenirea lezării organelor şi optimizarea calităţii vieţii; decizia terapeutică se bazează pe severitatea şi localizarea bolii, suferinţa funcţională şi riscurile tratamentului. Terapia systemicã cu glucocorticoizi este adesea utilizată pentru a controla inflamaţia și poate ajuta la prevenirea progresiei în formele cu afectare semnificativă a plămânilor sau a altor organe; pentru a limita efectele secundare ale steroidelor, se pot folosi agenți imunomodulatori sau imunosupresoare ca terapii complementare sau ca măsuri de economisire a steroidelor. În cazuri refractare sau cu implicare severă, terapiile biologice pot fi luate în considerare, iar tratamentele locale (de exemplu, steroid intraocular sau inhalator) pot contribui la controlul manifestărilor organ-locale, întotdeauna sub supraveghere specialistă.
Monitorizarea este esențială pentru evaluarea răspunsului la tratament și pentru depistarea efectelor adverse; un plan de urmărire multidisciplinar poate include:
- Evaluare clinică periodică: urmărirea simptomelor, examene funcţionale şi ajustarea terapiei în funcţie de evoluţie.
- Investigaţii respiratorii şi imagistice: teste funcţionale pulmonare şi radiografie/HRCT toracic pentru monitorizarea leziunilor pulmonare.
- Evaluări extrapulmonare: control oftalmologic, evaluare cardiacă la suspiciune de afectare miocardică și evaluare specifică pentru alte organe implicate.
- Supraveghere biologică și de siguranţă: analize de laborator pentru monitorizarea toxicităţii terapiei, metabolismului calciului și funcţiei hepatice/hematologice, precum și screening pentru infecţii înainte de imunosupresie.
- Prevenţie a complicaţiilor: evaluare a sănătăţii osoase la tratament corticosteroid pe termen lung și revizuirea necesităţii imunizărilor recomandate.
Notă: Alegerea şi ajustarea terapiei trebuie realizate împreună cu echipa medicală, luând în calcul beneficiile şi riscurile posibile pentru fiecare persoană în parte.

Remedii naturiste abordări complementare considerate în siguranță și limitările acestora
Abordările naturiste pot completa îngrijirea convențională și pot susține starea generală de bine, însă dovezile care susțin eficacitatea lor în sarcoidoză sunt adesea limitate sau preliminare; unele plante sau suplimente pot influența raspunsul imun sau metabolismul calciului și, prin urmare, utilizarea trebuie evaluată împreună cu echipa medicală. Alegerea unor remedii complementare ar trebui să fie individualizată, precaută și monitorizată pentru posibile interacțiuni sau efecte adverse.
Extracte vegetale uzuale
- Curcumin (turmeric): poate contribui la reducerea inflamației prin mecanisme antiinflamatoare și antioxidant, însă studiile specifice în sarcoidoză sunt limitate și rezultatele variază.
- Boswellia serrata: poate susține modularea inflamației și confortul respirator în unele condiții inflamatorii, dar dovezile directe în sarcoidoză sunt insuficiente.
- Ceai verde (EGCG): poate avea proprietăți antiinflamatoare și antioxidante care ar putea fi benefice în sprijinul general al sănătății, dar datele clinice specifice sunt restrânse.
Vitamine & minerale
- Vitamina D: poate influența funcția imună și metabolismul calciului; având în vedere riscul de hipercalcemie în sarcoidoză, suplimentarea trebuie discutată și monitorizată de medic.
- Antioxidanți (de ex. vitamina C): pot susține capacitatea antioxidantă celulară, însă efectele lor specifice asupra evoluției bolii nu sunt bine stabilite.
Alte opțiuni naturale
- Omega-3: poate contribui la reducerea inflamației sistemice și la sănătatea cardiovasculară, dar nu înlocuiește tratamentul medical și beneficiile în sarcoidoză necesită confirmare clinică.
Atenționare: Remedii naturale sunt complementare; pot exista interacțiuni. Discutați cu medicul înainte de utilizare.

Stil de viață și prevenție recomandări practice pentru gestionare și reducerea riscurilor
Gestionarea sarcoidozei implică măsuri practice care pot reduce riscurile de complicaţii și pot susține funcția pulmonară: renunțarea la fumat și evitarea expunerii la poluanți sau praf profesional poate ajuta la limitarea iritației pulmonare, iar programe de reabilitare pulmonară și exerciții de respirație pot contribui la menținerea capacității respiratorii. Vaccinările recomandate pentru prevenirea infecțiilor respiratorii pot fi utile în reducerea complicațiilor; discutați cu medicul despre schema potrivită și despre necesitatea monitorizării regulate prin investigații imagistice și teste funcționale.
Adoptarea unui stil de viață echilibrat poate susține managementul pe termen lung: o alimentație variată, atenție la sănătatea osoasă în contextul tratamentelor imunosupresoare, somn adecvat și tehnici de reducere a stresului pot contribui la bunăstare generală și la controlul simptomelor. Orice supliment sau schimbare terapeutică ar trebui discutată cu echipa medicală, deoarece unele substanțe pot interacționa cu tratamentele sau pot necesita monitorizare specifică.
Extracte vegetale uzuale
- Curcumin (turmeric): poate avea proprietăți antiinflamatorii și antioxidante și poate susține controlul reacțiilor inflamatorii.
- Boswellia serrata: poate contribui la reducerea inflamației în căile respiratorii și la ameliorarea simptomelor inflamatorii în anumite contexte.
- Ceai verde (EGCG): poate avea efect antioxidant și poate susține procesele antiinflamatorii la nivel celular.
Vitamine & minerale
- Vitamina D: poate influența metabolismul calciului și activitatea imunitară; necesită evaluare medicală înainte de suplimentare.
- Vitamina C: poate susține capacitatea antioxidantă a organismului și sănătatea generală a sistemului imunitar.
Alte opțiuni naturale
- Omega-3: poate avea efect antiinflamator sistemic și poate contribui la sănătatea cardiovasculară și respiratorie.
Atenționare: Remediile naturale sunt complementare; pot exista interacțiuni. Discutați cu medicul înainte de utilizare.
Întrebări frecvente
Î: Ce este sarcoidoza?
R: Sarcoidoza este o boală inflamatorie care poate afecta mai multe organe prin formarea de granulome. Cauza exactă nu este pe deplin cunoscută iar evoluţia variază; diagnosticul şi managementul trebuie stabilite de un medic.
Î: Care sunt simptomele frecvente?
R: Simptomele pot include tuse persistentă, senzaţie de lipsă de aer, oboseală, erupţii cutanate, ganglioni măriţi şi probleme oculare. Unele persoane pot fi asimptomatice sau pot avea manifestări uşoare care se pot agrava în timp.
Î: Cum se pune diagnosticul?
R: Diagnosticul se bazează pe evaluare clinică, investigaţii imagistice, teste funcţionale şi analize de laborator, iar confirmarea se face adesea prin biopsie a unui leziuni suspecte. Evaluarea este multidisciplinară şi trebuie realizată de medici cu experienţă în boală.
Î: Ce opţiuni de tratament există?
R: Unele cazuri pot fi monitorizate fără tratament activ, iar în cazuri simptomatice sau cu afectare de organ se utilizează terapii antiinflamatoare şi imunomodulatoare adaptate situaţiei pacientului. Alegerea tratamentului se face individualizat, după evaluarea beneficiilor şi riscurilor, de către medicul care urmăreşte pacientul.
Î: Când trebuie să consult un medic de urgenţă?
R: Solicitaţi evaluare imediată dacă apar dificultăţi severe de respiraţie, durere toracică, sincopă sau tulburări vizuale bruște. Pentru orice simptom nou, progresiv sau efecte secundare ale tratamentului este recomandat să discutaţi prompt cu un specialist.
Concluzie
Sarcoidoza este o afecțiune inflamatorie cu manifestări variate, iar recunoașterea simptomelor și evaluarea clinică sunt esențiale pentru monitorizare și decizii terapeutice individualizate. Managementul se bazează pe urmărire atentă, colaborare multidisciplinară și adaptarea planurilor de tratament în funcție de evoluție și de impactul asupra calității vieții. Informarea din surse de încredere, dialogul deschis cu echipa medicală și accesul la sprijin emoțional pot sprijini luarea unor decizii responsabile privind îngrijirea.
Atenționare: Informațiile au caracter informativ și nu înlocuiesc consultul medical. Pentru recomandări personalizate, adresați-vă specialistului.
Duminică, 7 Decembrie 2025Ofertă Limitată! Suferiți de sarcoidoză? Completați acum formularul și primiți pe email și telefon informațiile terapeutice gratuite și rețeta de tratament eficient pentru sarcoidoză!
👉 Sprijină-ne cu un share! ➡
Te-ar mai putea interesa
Gută: recunoaștere, abordare și suport pentru pacienți
Acest ghid despre gută explică cum să recunoașteți semnele, ce opțiuni de abordare sunt disponibile,…
Laringite: cauze, simptome și îngrijire vocală
Aflați cauzele și simptomele laringitei și recomandări prudente pentru îngrijirea vocală, explicate clar pentru a…
Dermatoza scuamoasă: ghid de recunoaștere și îngrijire
Ghidul explică semnele comune ale dermatozei scuamoase, factorii care pot agrava leziunile și recomandări practice…
Hipertrofie ganglionară: cauze, evaluare și îngrijire
Acest articol explică cauzele frecvente ale hipertrofiei ganglionare, pașii de evaluare medicală și opțiuni de…
